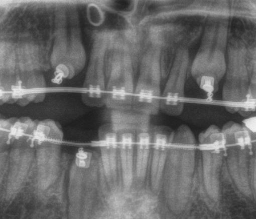
Conventional Braces


Crowding and Crossbite


Deep Overbite and Crossbite


Openbite


Transposition


Spacing


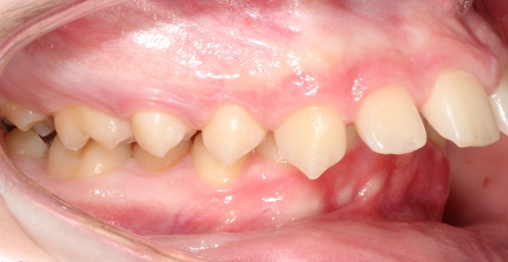
Underbite


Brodie Bite and Severe Overjet


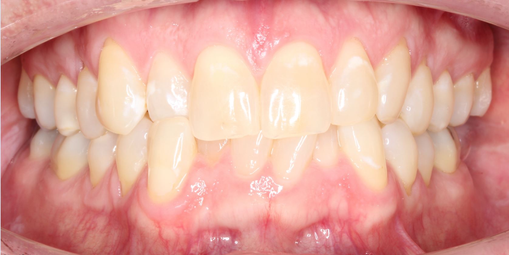
Same Patient as Above


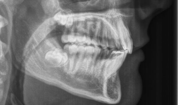
Impacted Canine


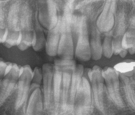
Impacted Canines, Same Patient as above


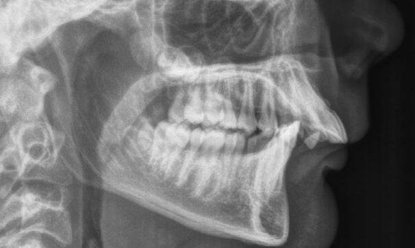
Jaw Surgery
Invisalign®


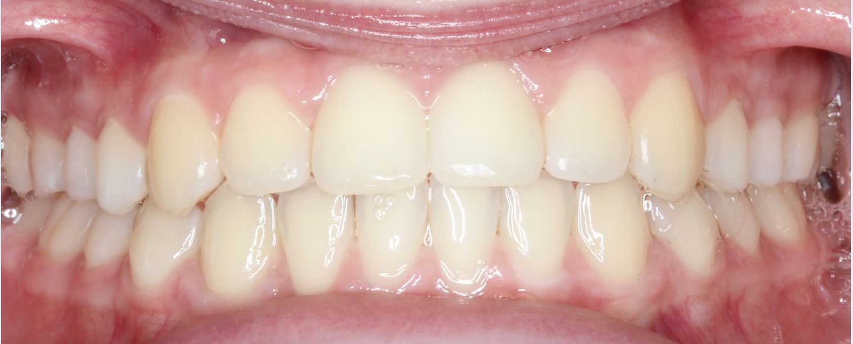
Underbite


Crowding


